Introduction
Cats are masters at hiding illness from their owners, and also from us during a physical exam. A cat that appears normal, and has a normal physical exam, can have serious illness because of their ability to compensate (homeostasis) internally for illness that will have serious effects if not cured or treated.
Because of this, diagnostic tests are important in cats. In addition to blood panels we need the help of digital radiography to assess problems internally.
This page has a wide variety of radiographs on cats. Before going through this page you might want to take a gander at our Learning How to Read a Radiograph page.
Once we show you the normals that are labeled see if you can figure out what is going on with the abnormal radiographs. Good luck and have fun!
Normal Radiographs

This is a labeled normal feline DV (dorsoventral) chest X-Ray of a fat cat
This is a labeled normal feline DV (dorsoventral) chest X-Ray of a fat cat. The top red arrow points to the aorta. The bottom red arrow points to the posterior vena cava, bringing venous blood from the back of the body to the heart.
A labeled abdominal radiograph of a normal cat. The arrow points to the small intestine.
Another labeled normal cat lateral abdominal X-Ray
L- Liver
S- Stomach
K- Kidneys
S.I.- Small Intestines
L.I.- Large Intestines
U.B.- Urinary Bladder
F- Feces in the colon
A normal cat lateral abdominal radiograph to see some of the variation. That large white granular tube is a colon filled with feces.
A normal cat lateral abdominal radiograph. Do you see the two kidneys overlapping each other?
The right kidney is more to the left, the left kidney is more to the back. Where they overlap there is a whitish area. This is called summation, and is normal.
The large intestine that is filled with feces is laying over the left kidney (the lower kidney of the two) making it hard to visualize the kidney. If we were worried about kidney disease we would give this cat an enema, or wait for it have a bowel movement, and then take another radiograph.
The shrunken left kidney is circled. This is common in Chronic Kidney Disease (CKD) in cats.
Food in the stomach under the circle. Look at the kidneys- notice the summation where they overlap?
This cat has a large spleen, which may or may not be normal. The arrow points to peristalsis in the small intestines.
Abnormal Radiographs
Do you see the liver mass?
The liver mass is large. Did you also see the kidney stones above the liver?
Anything unusual on this rad?
It has stones in the gallbladder, and possibly a problem with the kidneys
Anything fishy in this cat’s thorax?
It is a mass- maybe a tumor or a granuloma
This cat was shot by a large arrow. Under the circle is where the diaphragm has been torn and abdominal contents are in the abdomen.
A lateral view of the same cat showing the arrow and the hernia in the diaphragm
A thorax filled with fluid, called pleural effusion. The arrow shows the top of the air filled lung. It should be up much higher, almost to the vertebrae above it. This is a collapsed lung. The liver is large. The L marks where an air filled lung lobe should be. It is obscured because it is surrounded by fluid in the chest cavity.
The nest several radiograph will be showing a diaphragmatic hernia. In this disease the abdominal contents have ruptured through the diaphragm and are not in the chest cavity. This animal will have a hard time breathing (dyspnea) and is in a serious state. Surgery is needed to correct this problem.
Occasionally the cause is congenital, with most of the time the cause being trauma. Being hit by a car (HBC) is probably the most common trauma to cause this.
The very large white area is the heart with some abdominal contents surrounding it. You can actually see intestinal loops and feces in the thorax.
The top left circle is a microchip. The arrow shows the normal diaphragm, follow this down to see the hernia in the diaphragm that is circled. Also in this circle is a large intestine that is filled with feces. It has pushed through the hernia in the diaphragm and is now in the thoracic cavity. This is not a good place for it to be.
This is gas in the small intestines that are in the thorax.
The trachea (windpipe) is being pushed up, adding to the breathing difficulty
This cat is laying on its back with the front legs at the top. This is called a VD (ventrodorsal) view. The hernia is circled.
The arrow points to the feces again in the large intestine and going through a tear in the diaphragm
This cat has a fluid filled abdomen (called ascites) making it difficult to identify individual abdominal organs. Notice anything else?
There is a spot in the lungs and stones in one of the kidneys. This is typical of what we see in a cancer case.
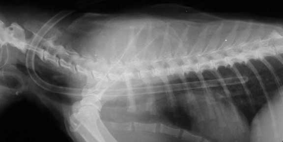
Cat’s have clavicles that are just remnants of the original
This is painful arthritis of the spine. The right circle shows it a the lumbosacral area, a particularly sensitive area. Cats with this need treatment, and our arthritis page talks all about it.
Kittens in a uterus
Same kittens, different view. Do you remember what we call this view?
See if you can figure out what is going on for these next few radiographs:
This cat with a large intestine filled with feces is a severe form of constipation called obstipation
Do you see the 2 white kidney stones?
The horizontal tube is a feeding tube (called an esophatogomy tube) in the esophagus of this cat. It is used in cats that cannot eat due to a fractured jaw, or cats with a liver disease called hepatic lipidosis.
A pellet in the neck






































