What is an Undershot Jaw in Dogs & Cats?
An undershot jaw is when the lower jaw extends out further than the upper jaw, and the teeth are misaligned. This causes what is called a malocclusion, which is where the upper and lower teeth do not mesh normally, with the lower jaw (mandible) extending out further than the upper jaw (maxilla).
This is a congenital problem that rarely causes any significant problem with the quality of the pet’s health. It is also known as mandibular (lower jaw) prognathism and underbite. There is also a problem called overbite that is the opposite of this problem.
Some of these pets may have difficulty chewing their food (mastication), but most adapt to it well. Pets with undershot jaws may be predisposed to early dental disease though, therefore any pet with this abnormality should be examined by one of our doctors every 6 months.
Breeding is a factor here, with an emphasis on a certain look without taking the lifetime condition of dogs with this and other problems with breeding.
Normal Jaw Anatomy
In a normal jaw the upper and lower teeth mesh perfectly. The incisors are on top of each other and allow for the fine tuning of biting or picking up objects. The canine teeth blend together for biting, and the premolars (carnaissal) and molar teeth give a shearing affect to eat meat off of bones.

A radiograph of a normal jaw
Normal alignment of canine teeth and adjacent incisor
To learn much more about dental anatomy please see our Dental Disease page.
What Breeds are Prone to an Undershot Jaw?
- English Bulldogs
- Boxers
- Shih Tzu
- Lhasa Apso
Some of the breeds that get undershot jaws are called brachycephalic that adds to the problem. Here are some of their problems:
- Tiny nostrils (nares)
- Large tongue for the size of the mouth
- Smalle windpipe (trachea)
How is an Undershot Jaw Diagnosed?
In almost every case it is diagnosed by a physical exam because the problem is obvious.
This jaw is from a Lhasa Apso
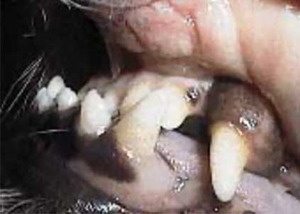
This is the severely undershot jaw of a Persian cat
Causes of Undershot Jaws in Animals
This is a hereditary and congenital problem, and has to do with breeding for certain traits that look good. These traits are anatomically and physiologically not good, and should be stopped, nor matter what tradition or breed standards say.
Problems Your Pet Needs to Face Due to an Undershot Jaw
In most cases there is no major problem to deal with.
In rare cases the lower jaw irritates the upper jaw, and even the tongue can be affected. In these rare instances there might be odor, excessive drooling, blood, and a difficult time eating. There can be a problem keeping the tongue in the mouth and it can dry out and become cracked.
It is common for these pets to get dental disease, so that issue needs to get addressed and taken care of early in life. Our Dental Page has all the details.
FAQ’S
Is an undershot jaw a serious health concern for pets?
Most pets with an undershot jaw will not have any major health problems. Make sure your pet has a no problems chewing its food and make sure you help prevent and treat dental disease.
Will my pet’s undershot jaw get worse over time?
This is unlikely.
Should I avoid breeding a pet with an undershot jaw?
As a precaution these pets should not be bred.
What should I do if I suspect my pet has an undershot jaw?
Nothing if after an exam by one of our veterinarians says everything is ok and it is just a cosmetic problem.



