Introduction
It is not uncommon for a cat to break its jaw due to a traumatic incident; usually falling from a height or being hit by a car. The lower jaw (the mandible or jawbone) usually fractures right in the middle of the chin which is very painful and renders the pet unable to use its jaw to eat.
Fortunately for most cats, they heal very well when the jaw is wired back together. Now if only they can remember not to run across the street again…..
Causes of Lower Jaw Fracture in Cats
In almost every case trauma is the cause of a mandibular fracture. Some of the more common sources of this trauma:
Falling from a window, a high rise apartment, or a tree or roof. This is called the “high rise syndrome”.
When the cat lands, the acceleration due to gravity does not allow it to support itself fully on all 4 legs upon landing. When the legs collapse under the body it causes the jaw to hit the concrete and fracture.
Being hit by a car (HBC).
Being kicked or hit with an object like a bat
Getting into a fight with another animal.
Having a high speed object like a baseball hit the face
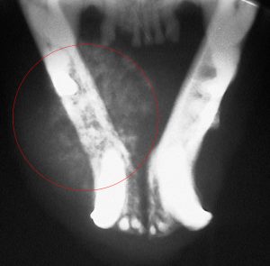
A cancer called Squamous Cell Carcinoma can erode the jaw and cause a spontaneous fracture
The cancerous area is circled in red. Compare it to the other side.
Severe dental disease can cause the jaw to fracture. The infection at the root of the tooth can erode the jaw and cause it to spontaneous fracture (called a pathologic fracture).
The white arrow on the right points to the eroded jaw on this pet due to severe dental disease. The wire to repair this jaw is above the white arrow on the left.
Getting hit by a car
A hormone (endocrine) disease called hypoparathyroidism on rare occasion can be the cause. This hormone helps regulate calcium levels in the body, and since bones are made up extensively of calcium, a low level of this hormone can make the bones weak and predispose to a fracture.
A maxillary jaw fracture involves the upper jaw. This is a rare problem, so in this section we will discuss a mandibular jaw fracture, which is the lower jaw. This problem is much more common.
Symptoms
Swelling or facial deformity if the maxillary (upper jaw) is fractured.
Blood coming from the nostrils or the gums
Inability to open or close the jaw.
Fractured teeth that are visible in front
Drooling
Pawing at the mouth
Inability to eat
Hiding
Resistance to being petted around the head
Jaw hanging down
Diagnosis
In almost all cases of jaw fracture the diagnosis is obvious. The cat is drooling, the jaw hangs down, and it is unable to eat. There are frequently other signs of trauma present somewhere on the body.
If you suspect your cat has a fractured jaw (or a fracture or broken bone anywhere on its body), you should never attempt to determine if there is a fracture. Not only can this cause serious pain (enough to go into shock), it can also make the fracture worse and cause injury to the tongue or other important organ in the oral cavity.
Palpation of the jaw (under anesthesia) by one of our veterinarians reveals the extent of the problem. The location of this fracture is called the symphysis of the mandible.
Treatment of Mandibular Fracture of Cats
The two halves of the lower jaw (the mandible) are wired back together with stainless steel wire. The wire is kept in place for approximately one month, then the cat is anesthetized again and the wire removed.
Most cats begin eating within 1-2 days of the repair, and only rarely do we have to place a feeding tube in so they can ingest adequate calories. If there are no other underlying problems almost all cats will heal completely and rapidly.
A special stainless steel wire is placed around the lower jaw. To be anchored properly, and to stay in place until healing is complete, the wire must pass through the underside of the jaw.
The surgeon then aligns the 2 fractured pieces and gently tightens the wire. When finished the wire passes under the tongue but over the lower jaw.
The ends of the wire pass out through the skin under the jaw. The wire is pushed up against the skin so it does not interfere or snag on things.
This radiograph gives an inside view of the wire.
A different x-ray view of a pet with a fractured jaw repaired by stainless steel wire
The roof of the mouth (the hard palate) is bruised because this cat was hit by a car. Fortunately the hard palate was not fractured, so no further treatment was needed.
The tongue was severely bruised also. This is the type of lesion, that when added to the fractured jaw, can prevent a cat from eating. Luckily the bruised tongue healed within a few days and this cat started eating soon. If not, we would have put a feeding tube in.
Jaw fractures can be quite painful, so it is common for us to use pain medication.
How to Manage a Cat with Lower Jaw Fracture
Initially most cats will be treated by us in the hospital for shock and pain while we are preparing it to be anesthetized to wire the jaw back together. After the wiring we will send your cat home within 1-2 days in most cases if it only has a fracture jaw and it is starting to eat soft food.
If it does not eat (this would be very rare) we will put in a feeding tube until it starts eating on its own. This is especially the case if there is trauma to the tongue.
When your cat is stable it will go home with you for continued nursing care. One of our doctors will instruct you on what food to feed. Initially it might be a soft food like Hill’s a/d, a food we use extensively for animals recovering from illness.
It is important to give any pain medication we give you, and use it as prescribed. This would usually be anywhere from a few days for up to one week. If you have any questions on the use of pain medication please call our hospital.
Weighing your cat on a baby scaled on a daily basis can help us determine if it is getting enough nutrition. Please make sure it has easy access to fresh water at all times. One of our doctors might give you a syringe to give additional water.
Keep your cat away from all animals and children for the first week it is home. Monitor urination and bowel habits, and bring your cat in for a recheck within 3-5 days if indicated by one of our doctors.
FAQ’s
1) How long does it take for a broken lower jaw to heal in cats?
If it is a routine mandibular symphysis fracture with no other medical problems, once wired most cats are feeling back eating within 3-5 days. It will take at least a full month for complete healing and wire removal.
2) Can a broken jaw heal itself?
Many variables about how extensive the jaw fracture is makes it difficult to say with 100% certainty, but as a general rule in almost all cases the jaw will not heal fast enough to prevent a cat from having serious nutritional problems and succumb due to an inability to eat.
3) Can a cat die from a broken jaw?
With proper medical care it would be rare, without medical care there is a good possibility it would die to malnutrition.




